置入「阻血欄杆」治腎癌 新手術方法 減切除風險

無論開放式或微創機械臂方法,腎癌部分切除手術向來對技術要求極高。傳統做法是需要在手術中短暫「夾實」腎動脈約30分鐘,讓泌尿外科醫生在腎臟停止血液循環的狀態(Warm ischaemic time)下快速切除腫瘤,再即時縫合傷口。腎組織柔軟脆弱,好像「豆腐」一樣,縫合時要迅速且精準,否則容易出血或滲尿,增加併發症風險,甚至影響患者康復。兩年前,我一位老朋友確診腎癌。腫瘤所在位置本來適合做部分腎切除,但他同一個腎卻有腎動脈血管瘤,若按傳統方法夾着腎動脈,血管瘤隨時爆裂,後果不堪設想,因此傳統開刀和機械臂手術難以安全進行;朋友向多位本地及海外醫生求助,得到的答案大多是束手無策,最終筆者想到一個新方法協助。
這位老朋友最後委託我進行切除手術,筆者被迫轉換思維,反覆思考如何在不夾着腎動脈血管的情況下,安全切除腫瘤,聽來是天方夜譚。最後想到一個新方法,透過縫一排線(壓力線)在腫瘤與正常腎組織之間,築起一道「欄杆」,暫時阻斷腫瘤的血液供應──微創機械臂腎保留切除術(Unclamped robotic renal preserving partial nephrectomy)應運而生。
不影響血液循環
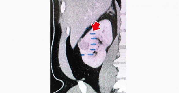
手術時,筆者先用微型超聲波儀器在腎表面勾劃腫瘤的周圍,並落下5針壓力縫線,完全分隔腫瘤與周圍正常腎組織。筆者沿着「欄杆」內圍切除腫瘤時,幾乎沒出血,因為已沒有血液流入腫瘤位置;同時,由於沒夾着主要腎動脈,整個腎臟的血液循環保持正常,術後腎功能完全沒有受損。老朋友的手術非常成功,腫瘤切除邊緣清晰,毋須額外化療或電療,康復速度比傳統方法快得多,只用了5天便出院。這兩年的覆診,腎癌沒有復發,腎功能保持良好,非常感恩。
沒想到的是,這個原本為幫助朋友構思的方法,後來成功惠及其他病人。筆者開始將微創機械臂腎保留切除術應用在適合的患者身上;有病人原本被醫生建議全腎切除,採用這方法後,可只做部分腎切除,減少日後洗腎風險。
此手術最創新的是,把止血概念從「夾血管全腎停血」轉為「局部阻斷」。用手按壓是最便利的止血做法,但微創機械臂手術中不能用手按下去,筆者便借用以往做腎穿刺取石手術(Percutaneous Nephrolithomtomy)的經驗,以幼細鋼針精準穿過腎組織,配合縫線形成阻斷屏障。這些針雖然長達6吋,但因為具備腎穿刺技術,加上術中利用超聲波導航,故可確保落針位置準確,既不會刺傷其他內臟,亦不讓腫瘤細胞污染正常組織。
當然,任何新方法都有風險。針長而腎厚,每次穿刺都需要極度小心,落針角度和深度必須準確無誤。這個新術效果理想,至今已為10多名患者進行,病人出血量大幅減少,腎功能保護良好。手術時間雖較長,約4至6小時,但因為沒有「夾血管全腎停血」時間壓力,反而能更仔細和安全地完成。這方法特別適合腫瘤位於腎臟外圍、體積較少的個案。如果腫瘤位置太近中央或體積過大,築「欄杆」難度便大大增加,因此事前必須做詳細立體血管重建電腦斷層掃描(3D reconstruction CT Scan),把腎血管分布像地圖般清楚顯示,才能精準規劃。
腫瘤太大增難度
這項新手術並非憑空而來,而是被「逼」出來。傳統方法走到絕境時,醫生必須轉換思維,融合不同手術經驗才能找到突破。筆者原本只為幫助朋友,卻意外為更多腎癌患者帶來保留腎臟的機會,這正是外科醫生的最大滿足。展望未來,隨着機械臂技術和人工智能發展,部分精準重複的操作或可由AI輔助。但無論科技如何進步,醫生的臨床判斷、經驗累積和對患者的責任感,永遠是手術成功的最重要元素。
撰文 : 傅錦峯醫生_香港執業專科醫生協會召集人
[信健康] 新型手術治腎癌,專科資訊要留意!【更多健康資訊:health.hkej.com】



